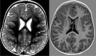
InvestigaciónDescubren una nueva enfermedad genética del neurodesarrolloUn equipo internacional liderado por el Instituto de Investigación Biomédica de Bellvitge (Idibell) y del Ciberer identificó mutaciones en el gen RPS6KC1 como causa de una nueva enfermedad genética del neurodesarrollo
TrastornosLos pediatras ponen el foco en el sesgo de género en diagnóstico del trastorno del espectro autista y el TDAHLa Asociación Española de Pediatría de Atención Primaria (AEPap) pone el foco en que el sesgo de género es la diferencia en el tratamiento de ambos sexos con un mismo diagnóstico clínico de trastorno del espectro autista (TEA) y de déficit de atención e hiperactividad (TDAH) y que es necesario tener en cuenta las diferencias biológicas, enfermedades, condiciones y experiencias vitales que afectan a ambos sexos, también en la infancia
InvestigaciónUna terapia visual pionera mejora la percepción y coordinación en niños con trastornos neurológicosEn un aula del colegio Celia y Pepe, en Madrid, una pelota, una lámina con letras o un simple juego de equilibrio son mucho más que herramientas de aprendizaje: son ejercicios para entrenar el cerebro. Allí, un grupo de niños con alteraciones neurológicas —desde autismo o TDAH hasta síndromes poco frecuentes como Landau-Kleffner o Coffin-Siris— ha participado en un programa pionero de terapia visual. Y los resultados invitan a mirar el futuro con optimismo: ver mejor puede ayudarles a aprender mejor
ParacetamolLa Aemps asegura que “no existe evidencia” de una relación entre el paracetamol y el autismoLa Agencia Española de Medicamentos y Productos Sanitarios (Aemps) aseguró este martes que “no existe evidencia que relacione causalmente el uso de paracetamol durante el embarazo con el autismo en niños”, desmintiendo así las palabras del presidente de Estados Unidos, Donald Trump
AutismoAutismo España pide a Trump que no hable de “cura” ni de “enfermedad” para referirse al TEALa Confederación Autismo España criticó este martes las declaraciones en las que el presidente de EEUU, Donal Trump, desaconsejó el consumo de paracetamol a las mujeres embarazadas tras vincularlo con un supuesto riesgo de TEA en los recién nacidos, y precisó que los Trastornos del Espectro Autista (TEA) “no se curan”. “Son una condición del neurodesarrollo”, no una enfermedad”
SanidadLa Fundación Jiménez Díaz organiza su primer campamento de verano para menores con problemas psiquiátricos o necesidades especialesEn este contexto, la Fundación Jiménez Díaz, la Fundación Quirónsalud y el Centro de Rehabilitación Dionisia Plaza -centro médico concertado con el Servicio Madrileño de Salud (Sermas), especializado en la atención integral a menores con trastornos del neurodesarrollo- han firmado un convenio de colaboración para organizar un campamento de verano, terapéutico y urbano, dirigido a menores en seguimiento en el Departamento de Psiquiatría del hospital madrileño, como medida de apoyo emocional, asistencial y social a los participantes, y de respiro familiar a sus allegados
OcioUn campamento de verano combina terapia, juego y naturaleza para niños neurodivergentesEl campamento de la Fundación Querer combina terapia, juego y naturaleza para ofrecer a niños neurodivergentes "una experiencia de verano que respete su ritmo, refuerce su autoestima y les permita ser ellos mismo". Se calcula que hasta el 15% de los menores en edad escolar son neurodivergentes, lo que supone que su cerebro funciona, procesa o se comunica de manera distinta a la media, pero apenas cuentan con propuestas de verano para ellos
InclusiónLa Fundación Querer organiza un campamento de verano para niños neurodivergentesLa Fundación Querer pone en marcha una nueva edición de sus campamentos de verano con el objetivo de ofrecer actividades inclusivas y terapéuticas en períodos de vacaciones escolares (las tres primeras semanas de julio) para niños con trastornos del neurodesarrollo (retraso en lectoescritura, TEA, TDAH, retraso madurativo, entre otros) de entre 4 y 18 años
UniversidadExpertos piden criterios unificados, coordinación y compromiso institucional para garantizar la accesibilidad en los campusLa Universidad de Valencia ha acogido recientemente el XIV Encuentro de la Red de Servicios de Atención a Personas con Discapacidad de las Universidades (Sapdu-CRUE), donde más de un centenar de especialistas de 49 universidades españolas han abogado por adoptar criterios unificados, mayor coordinación y compromiso institucional para alcanzar la inclusión real y efectiva de las personas con discapacidad en los campus
SaludMInsait (Indra) participa en el proyecto 'Red Únicas' de atención a niños con enfermedades rarasMinsait, filial del grupo Indra, participa en el desarrollo tecnológico de ‘Red Únicas’, un proyecto financiado gracias a los fondos Next Generation, dentro del Perte de salud de vanguardia y que pretende a través de la digitalización mejorar la atención de pacientes pediátricos con enfermedades raras o minoritarias
Educación inclusivaUna startup española desarrolla aplicaciones para que los niños con discapacidad aprendan sin diferenciasApolo Kids es una startup con sede en Valencia y con un enfoque centrado en la enseñanza integral e inclusiva. La empresa cuenta con dos plataformas (Kokoro Kids y Kororo Schools), dos aplicaciones que buscan el aprendizaje personalizado y adaptado al ritmo de cada niño, que cuenta ya con más de 260 juegos y vídeos creados por expertos en neurodesarrollo, innovación pedagógica e inclusión
InvestigaciónEl funcionamiento del cerebro en los bebés prematuros puede predecir patologías futurasExisten estados de activación cerebral que funcionan de un modo distinto en los bebés prematuros, evolucionan rápidamente en las semanas posteriores al parto y condicionan su desarrollo futuro, según identificó un estudio internacional en el que participan investigadores de la Universidad Politécnica de Madrid (UPM)
InvestigaciónLa activación del sistema inmunitario materno durante la gestación afecta al desarrollo neuronal del fetoLa activación del sistema inmunológico materno como respuesta a una infección durante la gestación en el embarazo altera la regulación de proteínas clave en las células madre neurales fetales, según señala un estudio llevado a cabo por un equipo de investigadores del Instituto de Parasitología y Biomedicina ‘López-Neyra’ del Consejo Superior de Investigaciones Científicas (Ipbln-CSIC), en colaboración con la Queen Mary University of London (Reino Unido) y la Virginia Commonwealth University (Estados Unidos)
Atención tempranaAyuso presenta un programa para mejorar la atención temprana a niños con autismo o daño cerebral con el uso de robótica y la IALa presidenta de la Comunidad de Madrid, Isabel Díaz Ayuso, presentó este lunes un proyecto pionero que utiliza la robótica asistencial y la inteligencia artificial para mejorar la atención temprana de niños con trastorno del espectro autista (TEA), retraso madurativo, con limitaciones en su capacidad motora, cognitiva y/o relacional, alteraciones del neurodesarrollo o dificultades derivadas de un daño cerebral
MadridLa Comunidad de Madrid crea el Consorcio Centro Nacional de Neurotecnología para el estudio del cerebro humanoLa Comunidad de Madrid anunció la creación del Consorcio Centro Nacional de Neurotecnología para el estudio del cerebro humano, que persigue convertirse en un instituto de referencia internacional en el desarrollo de nuevos avances a través de la integración de las neurociencias, la Inteligencia Artificial y la ética de estos avances
MadridEl Hospital 12 de Octubre de la Comunidad de Madrid ayuda a más de 900 familias en riesgo psicosocialEl Hospital público Universitario 12 de Octubre de la Comunidad de Madrid ha ayudado a más de 900 familias en riesgo psicosocial a través del proyecto ‘Los 1.000 primeros días de vida’, que se puso en marcha en marzo del año pasado y ha permitido favorecer la salud y el neurodesarrollo óptimos de los niños desde su concepción hasta los dos años
EmpresasLa Fundación Cofares inaugura la Navidad con su tradicional Concierto BenéficoEl Teatro Real de Madrid acogió, un año más, el Concierto Benéfico de Navidad de la Fundación Cofares, que ha celebrado su XXIX edición. Al evento asistieron socios y colaboradores de Cofares, junto a representantes del sector farmacéutico y sanitario y figuras clave de otros ámbitos de la sociedad